Cần Thơ: Bệnh nhân 70 tuổi giữ được chân nhờ can thiệp nội mạch
Nam bệnh nhân 70 tuổi đã giữ được chân trái nhờ bác sĩ Bệnh viện Đa khoa TP Cần Thơ kịp thời can thiệp nội mạch điều trị.
Bệnh nhân Nguyễn Văn Đ. (quê ở Long Xuyên, tỉnh An Giang) có nhiều bệnh lý phức tạp của tuổi già như tiền căn tăng huyết áp, đái tháo đường. Bệnh nhân đi khám khi vết loét gót chân dần mở rộng, lâu lành, cẳng bàn chân trái đau dai dẳng kéo dài hơn 3 tháng, cơn đau tăng lên khi vận động, đi lại và thậm chí đôi lúc xảy ra ngay cả khi nghỉ ngơi.

Hệ thống mạch máu chi dưới của bệnh nhân được dựng hình
Bệnh nhân đã đăng ký khám chuyên sâu về các bệnh lý mạch máu tại phòng khám Ngoại Lồng ngực và được xác định có các yếu tố nguy cơ bao gồm tăng huyết áp, đái tháo đường, xơ vữa động mạch và chỉ định nhập viện.

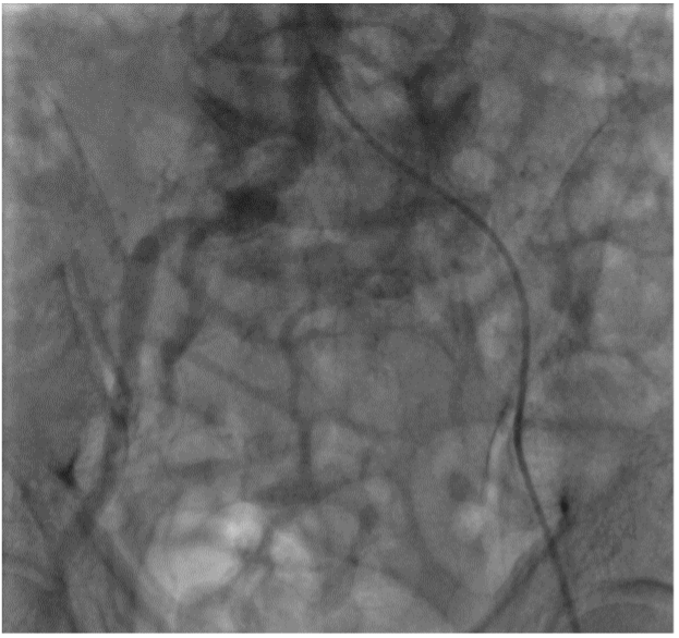
Chụp mạch dưới DSA cho thấy dấu hiệu tắc động mạch chậu trái
Khi thăm khám lâm sàng, bác sĩ ghi nhận động mạch đùi, động mạch khoeo và động mạch dưới gối chân bên trái không bắt được, loét gót chân trái. Kết quả siêu âm Doppler mạch máu chi dưới ghi nhận tắc động mạch chậu bên trái, mất phổ 03 pha động mạch đùi, khoeo chân trái. Bệnh nhân được chụp cắt lớp vi tính mạch máu chi dưới (CTA) để đánh giá cụ thể và chính xác hơn tình trạng bệnh lý của mạch máu.
Kết quả CTA cho thấy tắc động mạch chậu bên trái, tắc 1/3 giữa động mạch đùi bên trái và xơ vữa rải rác các động mạch chi dưới khác. Trước tình trạng tổn thương phức tạp này, các bác sĩ chỉ định can thiệp nội mạch (Endovascular Intervention) để kịp thời tái thông các mạch máu bị tắc gồm động mạch chậu và động mạch đùi nông bên trái.

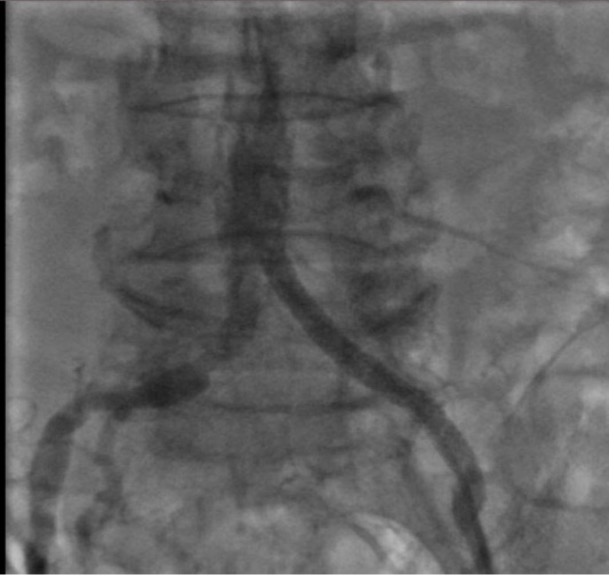
Nong bóng và đặt Stent động mạch chậu bên trái cho bệnh nhân

Chụp lại động mạch chậu trái sau nong bóng và đặt stent
Nhờ ứng dụng kỹ các kỹ thuật can thiệp nâng cao và sự thành thạo trong kinh nghiệm của ekip, ca phẫu thuật đã diễn ra thành công. Bệnh nhân được nong bóng và đặt 1 Stent 06x58mm vào động mạch chậu trái và nong bóng động mạch đùi nông bên trái.
Bệnh động mạch chi dưới là tình trạng bệnh lý của động mạch chủ bụng và các động mạch chi dưới, trong đó lòng động mạch bị hẹp gây giảm tưới máu cơ và các bộ phận liên quan (da, thần kinh) phía hạ lưu. Người bị bệnh động mạch chi dưới mạn tính nếu không được thăm khám, chẩn đoán và điều trị sớm sẽ dẫn đến teo cơ, loét và hoại tử chi, lan dần từ ngọn chi đến gốc chi, hậu quả cuối cùng là phải phẫu thuật cắt bỏ chi.

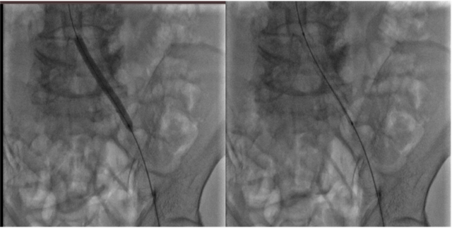
Chụp mạch thấy hẹp - tắc động mạch đùi nông (T)

Chụp mạch sau nong bóng động mạch đùi nông, mạch tái hiện tốt
Để điều trị thương tổn hẹp, tắc động mạch chi dưới, can thiệp nội mạch đã được chứng minh có tỷ lệ thành công không kém phẫu thuật làm cầu nối, đặc biệt với những tổn thương tầng trên gối. Ngoài ra, so với phẫu thuật, can thiệp nội mạch có một số ưu điểm sau: Gây tê tại chỗ cho phép thực hiện trên bệnh nhân có nguy cơ cao với gây mê toàn thân; tránh được cuộc mổ lớn, bệnh nhân có thể trở lại hoạt động bình thường trong khoảng 24-48 giờ.
Sau can thiệp, mạch đùi, mạch khoeo và động mạch chày trước, sau của bệnh nhân nảy rõ, chân ấm, giảm đau chân. Mặc dù tình trạng được cải thiện đáng kể, bệnh nhân vẫn được chỉ định tiếp tục điều trị nội khoa tối ưu và tái khám theo dõi định kỳ.

Bác sĩ thăm khám bệnh nhân sau can thiệp

Các bác sĩ đang can thiệp nội mạch cho bệnh nhân
Ca can thiệp kịp thời không chỉ giúp bệnh nhân bảo tồn chân trái và còn ngăn chặn nguy cơ hoại tử và đoạn chi. Đối với chi còn lại, bác sĩ đã xây dựng kế hoạch thăm khám và kiểm tra định kỳ chi tiết nhằm phòng ngừa các biến chứng nguy hiểm có thể xảy ra.
Người bệnh cần chủ động đến khám các bác sĩ chuyên khoa về mạch máu để được tư vấn hướng dẫn, thăm khám, chẩn đoán và điều trị sớm bệnh mạch máu chi dưới mạn tính.
Hồng Ân
Xây dựng thương hiệu OCOP: Đòn bẩy nâng tầm sản phẩm dưa xứ ThanhTrong chiến lược tái cơ cấu nông nghiệp gắn với phát triển kinh tế nông thôn, Chương trình “Mỗi xã một sản phẩm” (OCOP) tại Thanh Hóa đang bước vào giai đoạn phát triển theo chiều sâu, trong đó trọng tâm không còn là gia tăng số lượng mà là khẳng định giá trị thương hiệu. Với những sản phẩm đặc trưng như dưa các loại, bài toán xây dựng thương hiệu đang trở thành chìa khóa để nâng cao sức cạnh tranh và mở rộng thị trường.